がん早期発見

 

 

 

 

その他がん

 

 

1)食道がん : 40歳代後半より増加し始め、罹患率、死亡率ともに男性が高く、女性の5倍以上です。男性のがん死亡率の第6位

に位置します。お酒と喫煙が相乗的に影響を及ぼし、リスクファクターです。検査は、内視鏡検査が特に有力です。胃内視鏡検査の

時に食道も観察できます。早期に見つかると、内視鏡にて切除することも可能です。進行すると予後は悪く、飲酒者(飲むと顔が赤く

なる方は特に)で喫煙をする50歳以上の方は、年に1回の定期的な検査が必要でしょう。

 

2)膵がん : 60歳頃から増加します。罹患数は死亡数とほぼ等しく、生存率が低いことを表しています。早期の発見は極めて困難です。

腹部エコーは、有力な検査法ですが、どんな人が膵がんになりやすいかなど不明な点が多く、膵がんの早期発見は今後の大きな課題です。

 

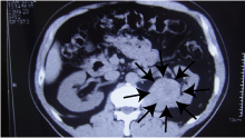
【症例】 

64歳、女性、上腹部痛にて来院、エコーにて膵臓部に腫瘍を見つけ、CTにても確認、外科手術が

施行された症例です

腹部エコー検査

腹部CT検査

 

3)泌尿器系がん(腎がん、膀胱がん、尿管がん)

検尿は簡単な検査ですが、検尿で尿潜血陽性で泌尿器系がんが見つかることがあります。顕微鏡的血尿の患者で尿路悪性腫瘍が

発見される割合は、0.5%程度と報告されています。

膀胱がんのリスクは、喫煙で、男性の50%以上、女性の約30%は、喫煙のために発生するという試算があります。男性が女性の

4倍と多いのも男女の喫煙率の差と関係あるかもしれません。

 

【症例】 

66才男性 血尿にて腹部超音波検査施行・膀胱ポリープを認め、膀胱鏡によるポリープ切除を施行して

頂いた症例です。

腹部エコー検査

内視鏡写真

 

 

・腎臓がんは超音波検査で偶然発見されることが多くなってきました。当然偶然見つかった腎がんの方が症状が出て見つかった

腎がんより予後は良好です。検尿および超音波検査は、腎臓がんの有力な検査法です。

 

例)61歳の男性で腹部超音波にて偶然見つかった腎がんの症例です。

腹部CTでも確認されました。当然症状はありませんでした。外科手術が施行されました。

腹部超音波

CT

直腸ポリープ
直腸ポリープ

 

 

 

 

 

 


松本内科胃腸科
〒819-0006 福岡市西区姪浜駅南1-4-1  電話:092-892-4039 mail:smat-54@mva.biglobe.ne.jp
Copyright (C) 2008 Matsumoto Clinic All Rights Reserved.    powered by 株式会社REAL.